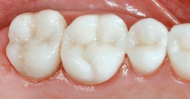
Restaurações
A restauração é uma forma de fazer com que o dente afetado pela cárie volte à sua forma e sua função normal. Quando o dentista faz uma restauração, ele primeiro remove a parte do dente que esta deteriorada, limpa a área atingida e então preenche a cavidade limpa com um material de restauração.

Ao fechar os espaços onde as bactérias podem se infiltrar, a restauração também ajuda a prevenir uma deterioração posterior. Os materiais utilizados para as restaurações podem ser ouro, porcelana, uma resina composta (restauração da cor do dente) e amálgama (uma liga de mercúrio, prata, cobre, estanho e algumas vezes zinco). 

 

 
« Voltar
 
 
+ TRATAMENTOS
Cerâmicas, (lentes de contato)
 
Cirurgia de terceiros molares.
 
Clareamento Dental
 
Endodontia
 
Enxertos Ósseos
 
Estética
 
Implantes
 
Placa Mio Relaxante
 
Prótese
 
Restaurações
 
 
 
 
CLÍNICA RCM ODONTOLOGIA
Responsável: Dr. Robson Melo - CRO: 10.089
Sobre a RCM
Equipe
Localização
+ TRATAMENTOS
Cerâmicas, (lentes de contato)
Cirurgia de terceiros molares.
Clareamento Dental
Endodontia
Enxertos Ósseos
Estética
Implantes
Placa Mio Relaxante
Prótese
Restaurações
COMO CHEGAR ?
Rua Engenheiro Rebouças, 441
Centro - ORTOPLAN CLASS
Foz do Iguaçu - PR

Fone: 45 3521 9090
robs@rcm.odo.br